Ya estamos atendiendo nuevamente comuniquese con nosotros por whatsapp al +51 - 973586834 para recibir nuestros tratamientos.
Hoy quiero contarte las distintas causas de la deficiencia de hierro y anemia.
Es importante si has recibido un diagnóstico de anemia que conozcas si ocurrió a causa de una dieta desequilibrada o el empleo de medicamentos o debido a otras causas que te contaremos.
Descubre abajo las características de las distintas causas de deficiencia de hierro y anemia.
_optimized.jpg)
Según un estudio realizado en Stanford University, la deficiencia de hierro o anemia ocurre cuando los niveles de hierro se encuentran reducidos y los glóbulos rojos se encuentran pálidos y pequeños.
La cantidad de glóbulos rojos cuando es baja refleja la severidad de la deficiencia de hierro. (1)

Una dieta desequilibrada puede conducir a una deficiencia de hierro. Especialmente se asocia a la presencia de desnutrición, falta de proteínas y bajo consumo de alimentos con hierro.
Una buena idea para evitar este inconveniente para reducir los antinutrientes de estos alimentos es mediante la germinación y fermentación.
En contraste a la desnutrición, la obesidad también se asocia a deficiencia de hierro. Esto ocurre a causa del incremento de la inflamación.
De acuerdo a otro estudio en Swiss Federal Institute of Technology, el consumo de calcio reduce la absorción del hierro de alimentos de origen animal como vegetal.
Otros nutrientes como los minerales compiten por su absorción con el hierro como el manganeso y zinc.
Por otro lado, la deficiencia de algunos nutrientes al afectar la producción de glóbulos rojos puede producir anemia: Vitamina B12 y B2, vitamina A, ácido fólico. (1) (2)
_optimized.jpg)
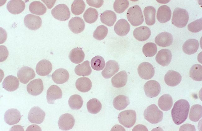
Según un estudio en National Institutes of Health, las pérdidas de sangre disminuyen la cantidad total de glóbulos rojos de la persona y aumenta los requerimientos de hierro para formar glóbulos rojos.
La gastritis, úlceras, diverticulitis, tumores benignos, cáncer de intestino, hemorroides, producen pérdida de sangre y deficiencia de hierro.
Otras causas de pérdidas de sangre que producen anemia por disminución del hierro son donar sangre con frecuencia, hemorragias nasales y la malaria.
Un esfuerzo físico excesivo puede conducir a pérdida de hierro por sudor.
La enfermedad celíaca o intolerancia al gluten es una causa de anemia debido a un bajo nivel de absorción de nutrientes como el hierro en el intestino.
Otras enfermedades que disminuyen la absorción de hierro son el bypass o cirugía para la obesidad, infección por helicobacter pylori en el estómago, colitis ulcerosa y enfermedad de Crohn. (3)

Según un estudio elaborado en Cairo University, los medicamentos como antibióticos y anti malaria puede destruir los glóbulos rojos y producir anemia.
Otros medicamentos que producen deficiencia de hierro y anemia son fármacos comunes como los antiinflamatorios no esteroides o NSAIDs.
Estos medicamentos agravan la pérdida de sangre. Los inhibidores de la bomba de protones al reducir la secreción de ácido afectan la absorción del hierro.
Otros medicamentos que tienen como efecto secundario el desarrollo de anemia son los medicamentos antivirales como por ejemplo contra el virus de la hepatitis C.
Es importante que concurras a tu doctor si tienes anemia para evaluar si se pueden reducir o suspender estos fármacos. (1) (4)

Las necesidades de hierro se encuentran incrementadas en los niños y adolescentes debido al crecimiento rápido y durante el embarazo.
En adolescentes, en las niñas las necesidades de hierro aumentan antes de su primera menstruación, aunque pueden ser elevados por mayor tiempo hasta culminar el crecimiento.
Los niños tienen incrementados sus necesidades durante todo el crecimiento.
Las mujeres en edad fértil tienen necesidades mayores de hierro cuando existe la pérdida de sangre en la menstruación.
Es decir que si estos grupos de personas no aumentan su aporte de hierro pueden experimentar deficiencia de hierro y anemia. (2)
_optimized.jpg)
La anemia que se produce por causas genéticas se encuentran las anemias por deficiencia de hierro por hierro refractario.
Esta situación se evidenció en un estudio que evalúo a las personas con este tipo de anemia luego de 4 a 6 semanas de tratamiento.
Esta enfermedad se produce por una mutación en un gen llamado TMPRSS6 que aumenta excesivamente la hepcidina, una hormona que se produce en el hígado y es la responsable de controlar el metabolismo del hierro.
Esta enfermedad ocurre en menos del 1 % de los casos con anemia. (1)
Te recomiendo llevar una dieta balanceada que incluya alimentos con alta capacidad de curación para la anemia.
Conoce las características de estos alimentos en el siguiente artículo: Alimentación para la anemia.
Conclusión
En este artículo te mostramos las causas más comunes de deficiencia de hierro. Sí tú eres adolescente o te encuentras embarazada debes saber que tus necesidades de hierro son elevadas.
Otras causas de anemia son pérdidas por enfermedades o el uso de medicamentos.
Sin embargo, una causa importante de anemia es llevar una dieta desequilibrada, contar con deficiencias de nutrientes, bajo consumo de hierro e incluir alimentos que inhiben la absorción del hierro.
Si te gustaría comenzar a ordenar tu alimentación y asegurarte de que tu desayuno es fuente en hierro y de fácil absorción, te aconsejo adquirir nuestro Libro de Desayunos Verdes e incorporar desayunos especiales fuentes de hierro.
Conoce nuestro libro en el siguiente link: Libro de Desayunos Verdes