Ya estamos atendiendo nuevamente comuniquese con nosotros por whatsapp al +51 - 973586834 para recibir nuestros tratamientos.
Aprende en este artículo como seguir una dieta antiinflamatoria contra la artritis. Conoce qué es la inflamación y cómo se relaciona con el dolor del cuerpo en la Artritis.
Descubre porque la inflamación se vuelve crónica, cuáles son los alimentos que causan inflamación y que comer a diario en tu dieta para bajar la inflamación y reducir el dolor de Artritis.

Según un estudio realizado en Benedictine University, la inflamación es la respuesta del cuerpo frente a agentes dañinos como bacterias, enfermedades o desencadenantes del ambiente.
Los síntomas y signos de inflamación pueden ser hinchazón y enrojecimiento. La inflamación a medida que es más grave puede causar también una sensación de calor, problemas de movimiento y dolor. (1)

Según un estudio en University of North Carolina y otro en University of Colorado, el cuerpo tiene la capacidad de regular la respuesta inflamatoria.
Es decir, en personas sanas cuando entran invasores al cuerpo el sistema inmune responde mediante inflamación y una vez que este invasor ha sido eliminado, la inflamación baja y se resuelve.
Sin embargo en personas que sufren de artritis la respuesta inmune se vuelve crónica y el cuerpo empieza a atacar a sus propios tejidos, en especial a las articulaciones.
Un estudio de University of North Carolina demostró que la inflamación del cuerpo y los problemas en el sistema inmune en la artritis comienza muchos años antes de presentar inflamación y dolor en las articulaciones.
De acuerdo a otro estudio por University of Colorado, la acumulación de bacterias en el intestino alteran la función del sistema inmune y causa que el sistema inmune genere una respuesta inmune que ataca a sus propios tejidos.
En personas saludables en intestino cumple una función importante de barrera contra microorganismos y cuerpos extraños.
Estos cuerpos extraños pasan a la sangre, van desequilibrando al sistema inmune que causa una respuesta inmune e inflamación crónica.
Esta inflamación no logra resolverse y poco a poco afecta a las articulaciones y destruye los tejidos del cuerpo. (2) (3)
La respuesta inmune en la Artritis genera inflamación en distintas áreas del cuerpo:

Según un estudio en McMaster University, la artritis se caracteriza por inflamación en las articulaciones que ocurre por una respuesta inmunológica. (4)
Pero no son solo las articulaciones, si sufres de artritis puedes eventualmente desarrollar inflamación en otras áreas del cuerpo como:

De acuerdo a un estudio en University of Birmingham, la vasculitis ocurre producto de la inflamación crónica de los vasos sanguíneos como en la artritis. (5)

Según un estudio realizado en University of Birmingham en la esclerosis en pacientes de artritis se produce la inflamación del nervio óptico. (6)
_optimized.jpg)
Según un estudio en Harvard Medical School, las enfermedades crónicas como la artritis aumentan una sustancia inflamatoria, hepcidina, que conduce a anemia. (7)
_optimized.jpg)
De acuerdo a un estudio en Mayo Clinic, las enfermedades cardiacas se relacionan con aumento de marcadores de inflamación en personas con artritis. (8)
_optimized.jpg)
Según un estudio en Hospital of China Medical University, las sustancias inflamatorias como interleukinas-33 en personas con artritis producen inflamación pulmonar o pleuritis, fibrosis y nódulos reumatoides. (9)

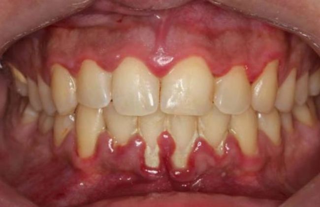
De acuerdo a un estudio en Charité - Universitätsmedizin, la acumulacion de placa en la boca en pacientes con artritis aumenta la producción de sustancias inflamatorias que inflaman y destruyen la encía. (10)

De acuerdo a un estudio en Hospital for Joint Diseases, en el síndrome de túnel carpiano en personas con artritis existe una presión en el nervio medio de la mano y un proceso inflamatorio. (11)

Según un estudio en University of Birmingham en pacientes con artritis son más frecuentes los cambios en la piel a causa de la inflamación comparado con personas sin artritis. (12)

Según un estudio realizado en Stanford University, la dieta convencional compuesta con alta cantidad de harinas refinadas, alcohol, alimentos procesados y con emulsionantes producen inflamación.
Además, si tu cocinas los alimentos a altas temperaturas o consumes alimentos con alto procesamiento se producen tóxicos como productos de glicosilación avanzada, aminas, acroleina que incrementan la inflamación.
Los alimentos con alto índice glicémico como los azúcares y harinas refinados aumentan un proceso llamado estrés oxidativo que activa genes causantes de inflamación.
Esto no sucede con las frutas que tienen alto índice glicémico como el plátano porque las frutas contienen propiedades antioxidantes que combaten el estrés oxidativo.
La sal y grasas trans presentes en productos procesados son otros compuestos de la dieta convencional que aumenta la inflamación.
Estas células mejoran la integridad de la barrera intestinal y reducen la inflamación.
Por otro lado, las grasas trans de los productos procesados incrementan la inflamación al aumentar sustancias inflamatorias como el factor de necrosis tumoral y la proteína C reactiva. (13)
Es importante que reemplaces estos alimentos inflamatorios con alimentos saludables para la Artritis y con la ayuda de expertos de nutrición y Artritis para que tu nueva dieta esté bien equilibrada.
Una dieta especializada para prevenir y tratar la inflamación de la artritis te enseña cómo evitar alimentos inflamatorios y reemplazarlos con alimentos que contienen nutrientes antiinflamatorios.
El Programa Anti-Artritis de Nuevas Evas es una dieta especializada para la Artritis que contiene alimentos antinflamatorios para curar tu artritis, cuidar la salud de tus intestinos y equilibrar tu sistema inmune.

De acuerdo a un estudio realizado en University of Pittsburgh los alimentos naturales son la forma más segura y eficiente para tratar la inflamación a largo plazo y como consecuencia controlar el dolor.
Los alimentos de origen vegetal como apio, arándanos, verduras de hoja, semillas de ajonjolí, quinoa poseen antioxidantes como polifenoles, resveratrol, flavonoides, antocianidinas, esteroles.
Adicionalmente, los alimentos naturales inhiben vías inflamatorias llamadas NF-KB.
Estas vías son las responsables de que la respuesta inmune se vuelva crónica y se liberen sustancias inflamatorias al cuerpo. (14)

Es importante que sepas que no existe solo un antiinflamatorio que pueda acabar con la inflamación de tus articulaciones.
Incluso cuando les hemos compartido recetas en este canal siempre les comentamos que aunque esta receta puede aliviar sus dolores, no hay solo una receta que cura la artritis.
Quieres saber el verdadero secreto para eliminar la inflamación crónica de la Artritis en tu cuerpo:
Es una dieta especializada para la Artritis que utiliza los alimentos con alta capacidad de curación.
Estos alimentos tienen 3 pilares importantes son naturales, tienen enzimas y no están procesados.
Es decir, estos alimentos no desencadenan la respuesta inmune ni la inflamación en el cuerpo.
Por ejemplo, un estudio en Harokopio University evidencio que una dieta antiinflamatoria compuesta por grasas omega 3 como la de semillas de chía, lino resulta beneficiosa para reducir marcadores de inflamación.
Otro estudio en University of Padova encontró que una dieta antiinflamatoria rica en frutas, verduras, aceites, es fuente de antioxidantes, vitamina A, E, C, Zinc, selenio.
Estos nutrientes reducen sustancias inflamatorias como el ácido araquidónico. (15) (16)
Todas estos son algunos de los muchos nutrientes que reciben las personas que están realizando nuestro Programa Anti-Artritis, gracias a esta dieta logran eliminar la inflamación y dolor en sus articulaciones.
Si deseas conocer nuestro programa anti-artritis te invito a unirte hoy mismo a las miles de personas que estan combatiendo su artritis naturalmente:
Sí deseas conocer cómo puedes seguir una dieta antiinflamatoria incluyendo alimentos con alta capacidad de curación te invito a conocer nuestro Programa Anti-Artritis en el siguiente link: Quiero recibir la dieta Antiinflamatoria del Programa Anti-Artritis
Conclusión
Luego de leer este artículo podrás conocer si estás presentando inflamación.
Aprenderás cuál es el origen de tu inflamación, como ha contribuido al desarrollo de artritis y la importancia de controlar la inflamación de tu cuerpo para frenar y revertir esta enfermedad.
Ahora que conoces los alimentos que debes evitar en tu dieta porque producen inflamación y cuales tienen poder antiinflamatorio natural para combatir la Artritis naturalmente.
Te recomiendo seguir una dieta antiinflamatoria mediante el Programa Anti-Artritis de Nuevas Evas.
Para aprender más sobre este programa presiona en el siguiente enlace: Obtener el Programa Anti-Artritis